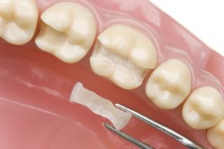
Cosmetic inlays
Cosmetic inlays are fillings fabricated outside of the mouth, and used in situations where esthetics, increased strength and precise fit of a large or complex restoration are required. They are also resistant to plaque accumulation and surface staining as opposed to resin fillings. Cosmetic inlays are also considered the most suitable method for replacing old, extensive “silver” fillings, strengthening the tooth to which they are bonded. Moreover, inlays will not shrink when bonded in place, so the risk of recurrent decay or discoloration at the margin of the restoration is reduced.
If it is necessary to cover one or more cusps (“bumps”) on a tooth chewing surface, onlays or overlays (partial crowns) are recommended. These restorations are less extensive and less costly than crowns, while providing cuspal protection and esthetics.
Cosmetic inlays are commonly made of high strength ceramics: filled glass ceramics or zirconia. Filled glass ceramics have a realistic appearance, do not abrade natural teeth they contacts and are more resistant to fractures than traditional porcelain. Zirconia inlays are virtually unbreakable, therefore recommended for bruxers and grinders. They are also excellent alternatives in situations when there is no enough space available for porcelain coverage.
Good things take time. Inlays are done in two separate visits to the dentist. Your tooth will be protected with a temporary inlay (“a temp”) by the time your new inlay is fabricated at a dental laboratory. Computer-generated technology is also available, gaining popularity due to its ability to deliver restoration in one appointment. However, achieving high-end esthetics with such technology is challenging.
When properly indicated and executed, ceramic inlays and onlays can predictably last as long as 8 years or more.
